zur Startseite www.heuser-noever.de
 
Individuelle Gesundheitsleistungen
Igel
 
home  Knochendichte
Sexualmedizin Akupunktur
Lichttherapie Dünnschicht-Abstrich
HPV -Impfung HPV-Suchteste
Wunschultraschall-Untersuchung, auch Live 3D/4D Farbdoppleruntersuchung
Ersttrimester-Screening Hormone Frau
Pränatales Screening auf Chromosomenstörungen: NIPT = NIPD
Anti-Aging Krebsvorsorge
Darmkrebsfrüherkennung Verhütungsstäbchen

 nach unten!

Igel

Die Kassenärzte sind nach dem Sozialgesetzbuch V §12 angehalten, nur die Leistungen zu erbringen, die "ausreichend, zweckmäßig und wirtschaftlich sind und das Maß des Notwendigen nicht überschreiten".

Darüber hinaus gibt es wünschenswerte und medizinisch sinnvolle Zusatzleistungen, die z.B. die Sicherheit der Früherkennungsuntersuchung erhöhen.

In unserer Praxis können Sie sich nach den vielen Zusatzuntersuchungen erkundigen.

Knochendichte-Messung auf Ultraschallbasis

Zurzeit führen wir keine Messungen mehr in unserer Praxis durch. (Gerät defekt.)

Vorteile unserer Methode:
1. Keine Strahlenbelastung
2. Messung direkt am Knochen
3. Schmerzlos
4. Schnell und komfortabel

 

Früherkennung und Kontrolle des Frakturrisikos

Mit Hilfe hochfrequenter Schallwellen kann der Knochen an den Fingern einer Hand auf seinen Zustand hin untersucht werden. Zurzeit führen wir keine Messungen mehr durch.

Die quantitative Ultraschallsonometrie (QUS) (Knochendichtemessung) ermöglicht die Bestimmung des individuellen Osteoporoserisikos. Es wird die Knochenqualität untersucht. Ihre Ärztin erhält ein Messergebnis mit hoher diagnostischer Aussagekraft für die Beratung.

Messwertinterpretation Deutsches Ärzteblatt: Archiv

 

nach oben!

Osteoporose

Osteoporose ist definiert als eine systemische Skeletterkrankung, mit einer niedrigen Knochenmasse und einer Störung der Mikroarchitektur des Knochengewebes, mit daraus resultierender erhöhter Knochenbrüchigkeit und steigendem Frakturrisiko. Schätzungsweise 30% aller Frauen erleiden nach der Menopause eine Osteoporose.

Zu den möglichen Spätfolgen zählen insbesondere Schenkelhalsbrüche infolge erhöhter Anfälligkeit bei Stürzen bzw. Unfällen.

 Weitere Information erhalten Sie auf der Website des Osteoporose-Spezialisten: Herrn Prof. Wüster in Mainz, z.B. für die Diagnostik:

"Der Untersuchungswert der Knochendichtemessung ist unumstritten, hiermit wird die Diagnose im Frühstadium gestellt. Diese Methode ist die beste Möglichkeit das Risiko für zukünftige Knochenbrüche zu quantifizieren. Dabei ist unerheblich, ob die Knochendichte an der Wirbelsäule, am Schenkelhals, am Fersenbein oder am Unterarm oder mit Ultraschall oder mit Röntgenverfahren gemessen wird. Alle Messorte und Messmethoden sind gleich gut, die Beurteilung hängt allerdings stark von der Erfahrung des Arztes, der die Messung durchführt ab." 

Schließlich kann es aber auch zu schleichenden, scheinbar von allein auftretenden, Wirbel-Einbrüchen kommen, die zu einem Rundrücken oder gar zur Ausbildung eines Buckels ("Witwenbuckel") führen können.

nach oben!

Akupunktur

Im Folgenden präsentieren wir Ihnen eine ausführliche Indikationsliste zur Behandlung mit Akupunktur. Die Hauptbehandlungsbereiche in unserer Praxis liegen natürlich mehr in der Gynäkologie und der Geburtshilfe.

Verschiedene Krankheitsbilder

In Theorie und vor allem in der Praxis zeigen wir Ihnen, wie Sie akute und chronische Formen folgender Erkrankungen mit Akupunktur behandeln und in vielen Fällen dauerhaft heilen können:

Akupunktur-Frauenheilkunde

Internistische und allgemeinmedizinische Erkrankungen

  • Pharyngitis, Tonsillitis
  • chronische Nasennebenhöhlenentzündungen
  • Asthma bronchiale, chronische Bronchitis
  • Gastritis, Magenulkus
  • Funktionelle Darmerkrankungen, Diarrhö, Obstipation, Kolitis ulcerosa, Morbus Crohn
  • Neurodermitis, Herpes labialis, Herpes zoster
  • Ulcus cruris
  • Otitis media, Neuritis Vestibularis, Tinnitus
  • allergische und entzündliche Augenerkrankungen
  • Allergie
  • Hypertonie und Hypotonie
  • periphere Durchblutungsstörungen
  • Funktionelle Herzbeschwerden
  • chron. Müdigkeitssyndrom
  • Haarausfall
  • palliative Begleitung von Tumorpatienten
  • Nikotinsucht
  • Übergewicht
  • Amenorrhoe, Dysmenorrhoe
  • Infertilität, sexuelle Störungen
  • Harnwegsinfektionen
  • Menopausale Beschwerden
  • Hyperemesis Gravidarum
  • Geburtserleichterung
nach oben!

Orthopädische Erkrankungen

  • HWS-Syndrom, Cervicobrachialgie
  • Spannungskopfschmerz, Migräne
  • Radiculäre und pseudoradiculäre Erkrankungen im HWS-Bereich auch bei Bandscheibenvorfall
  • Torticollis, Schleudertrauma
  • chronische Schmerzerkrankungen der Schulter, Supraspinatussyndrom, Frozen Shoulder, chronische Entzündung der Bizepssehne
  • Tennisarm, Golferarm, Tendovaginitis, Styloiditis radii et ulnae
  • akuter und chronischer Kreuzschmerz
  • Ischialgie, radiculäre und pseudoradiculäre Erkrankungen im LWS- Bereich auch bei Bandscheibenvorfall
  • Post-Discotomie-Syndrom
  • Periarthritis coxae
  • Knieschmerz bei Gonarthrose
  • Chondropathia patellae
  • Knie-Sprunggelenksdystorsionen
  • Akupunktur in der Sportmedizin
  • Achillodynie, Jumpers Knee, Überlastungsschäden
  • Metatarsulgie
  • Fibromyalgie
  • Morbus Sudeck

nach oben!

Neurologische Erkrankungen

  • Spannungskopfschmerz, Migräne
  • Begleitende Therapie bei Multipler Sklerose
  • Morbus Menière
  • Gleichgewichtsstörungen
  • Myofacialer Schmerz, Trigeminusneuralgie
  • Neuritis nervi optici
  • psychische Erkrankungen, Depression
  • Rehabilitation nach Schlaganfall
  • Facialisparese
  • Polyneuropathie
  • neuromuskuläre Dystonie
  • weitere Krankheitsbilder

nach oben!

Lichttherapie

Einsatzmöglichkeiten:

  • Behandlung von saisonal abhängigen Depressionen - Winterdepressionen
  • Verschiedene Arten von Schlafstörungen, Störung des Schlaf-Wach-Rhythmus
  • Prämenstruelle Beschwerden "Tage vor den Tagen"
  • Depressive Neigungen wie Antriebslosigkeit u. Traurigkeit
  • Bestimmte Beschwerden in den Wechseljahren
  • Chronisches Erschöpfungssyndrom
  • Kopfschmerzen u. Migräne
  • Stimmungsschwankungen, Gereiztheit und Nervosität
  • Stressverarbeitung und Stressabbau
  • Gewichtszunahme durch Heißhungerattacken
  • Alkoholentzugssyndrom
  • Panikattacken
Die medizinische Lichttherapie kann bei den oben genannten Indikationen als nebenwirkungsarme Alternative oder ideale Ergänzung zu den bisher praktizierten Behandlungsmethoden eingesetzt werden.

nach oben!

Krebsvorsorge

Ab 1.1.2020 neu geänderte Krebsfrüherkennungs-Richtlinie/KFE-RL

Selbstverständlich sollte bei jeder Frau ab dem 20. Lebensjahr auf Kassenleistung frauenärztlich eine Untersuchung zur Früherkennung einer Krebserkrankung, insb. von Gebärmutterhals- und Brustkrebs, erfolgen.

Dabei wird gründlich gynäkologisch untersucht, die Brust abgetastet und u.U. eine Mammographie veranlasst. Kolposkopisch (mit der Lupe) wird der Muttermund betrachtet und ein Abstrich entnommen, auf einem Gläschen ausgestrichen, fixiert, gefärbt nach dem griechischen Gynäkologen Papanicolaou (Pap), unter dem Mikroskop untersucht u.a.m. (PAP - Test - Einteilung hier).

Einige Jahre vor "richtigem" Krebs können sogenannte Vorstufen erkannt werden. Seit etwa 1993 ist bereits eine "neue Methode" einer "Krebsaufbereitungstechnik" bekannt:

nach oben!

Dünnschicht-Zytologie, Flüssigkeits-Zytologie

Die oben beschriebene Methode ist etwa 50 Jahre alt und immer noch gut bewährt. Es kann aber vorkommen, dass die Zellen in verschiedener Dicke auf das Gläschen (den Objektträger) aufgetragen werden, so dass sich zu viele Zellen auf einer Stelle befinden und sich überlappen. Dabei kann es schwierig sein, alle Zellen zu beurteilen. Außerdem wurde in Studien gezeigt, dass die meisten Zellen nicht auf den Objektträger, sondern mit dem Instrument, mit dem die Probe entnommen wird, weggeworfen werden.

Die Zellen werden bei der Dünnschicht-Zytologie (ThinPrep®Pap Test) auf gleicher Art gewonnen. Jedoch werden die Zellen nicht auf einen Objektträger aufgetragen, sondern in einen Plastikbehälter mit einer Konservierungslösung (Flüssigkeit) gespült. Weltweite Studien haben gezeigt, dass der ThinPrep Pap Test genauere Angaben zulässt, als der herkömmliche Abstrich. National wurde er jetzt ab 2004 in England und in Schottland eingeführt zur Kebsvorsorge. Hier muss diese Untersuchung privat gezahlt werden. In den USA  wird diese Untersuchung schon bei den Gebärmutterhalsabstrichen zu 70% durchgeführt. Ein Link dazu in Medical Tribune.

Link zur Herrstellerseite

Hier oben sehen Sie also, wie beim konventionellem Abstrich 80% des Materials verworfen wird.

Link zur Herrstellerseite

Und hier haben Sie gesehen, dass fast alles aufgefangen wird und gut aufbereitet zur Diagnostik kommt.

Unser früheres Einsendelabor: Dr. Jordan und pathologie-koeln-rodenkirchen, jetzt LBT Klimas/Zotz

nach oben!

HPV-Suchteste

Zellveränderungen werden am Muttermund (auch in der Scheide oder im Gebiet um den Scheideneingang) durch humane Papillomaviren (HPV) ausgelöst. Diese werden beim Geschlechtsverkehr übertragen. Etwas überspitzt kann man den Gebärmutterhalskrebs als eine moderne Geschlechtskrankheit bezeichnen (neben Aids und Hepatitis B). Alle Frauen, die sexuell aktiv sind, sollten regelmäßig einen Krebsabstrich machen lassen.

Auch wenn Sie im Moment keinen Sexualpartner haben oder Ihre Periode nicht mehr haben, sollten Sie regelmäßig zur Krebsvorsorge gehen. Es gibt viele HPV-Stämme, nicht alle sind onkogen (krebsauslösend). In unserem Labor wird eine ausreichende Anzahl aufwendig untersucht. Bei positivem Befall wird im eingehendem ärztlichem Gespräch das weitere Vorgehen erörtert. Wir haben als Reaktion auf die Darstellung in den Medien in 10 Punkten das Wichtigste über HPV zusammengefasst auf unserer Seite: Aktuell. 

Mit dem HPV-Test ist es möglich, das Risiko einer möglichen späteren Krebserkrankung frühzeitig zu erkennen. Jedenfalls sollten dann regelmäßige Früherkennungsuntersuchungen (Abstrichkontrollen) veranlasst werden.

nach oben!

Wunschultraschalluntersuchung

Zur erweiterten, bzw. verbesserten Vorsorgeuntersuchung gehört eigentlich neben der Tastuntersuchung auch die Vaginalsonographie (Ultraschalluntersuchung von der Scheide aus), um Eierstöcke und das Innere der Gebärmutter noch sicherer beurteilen zu können.

In der normalen Schwangerschaft sind drei Ultraschall-Untersuchungen nach den Mutterschaftsrichtlinien in Deutschland vorgeschrieben: In der 10. SSW, in der 20. SSW und in der 30. SSW. (besser in der 12.-13., 22. und 28.)

Wünscht die Patientin mehr Untersuchungen, was psychologisch sinnvoll sein kann, so sind dies private Leistungen. Jedoch bleiben nach wie vor die vermehrt notwendigen Untersuchungen bei einer Risikoschwangerschaft Kassenleistung.

Hier einige Ultraschallbilder

Home

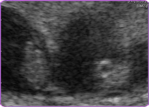
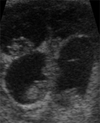
Zwillinge in der 20. Schwangerschaftswoche:

 weiblich:

männlich:

  Drillinge Plakat  

Drillinge: zurück zu Home

Faszination Live 3D/4D zurück zu Home

12.SSW 

Live 3D/4D

 

Drillinge Live3D/4D

 

18 + 5

nach oben!

paradiesisch schön hier: 3D/4D live in der 30. SSW:

aber manchmal muss ich hier tief nachdenken: 3D/4D live in der 35. SSW:

Home

Dopplersonografie

Die Arbeitsgemeinschaft für maternofetale Medizin innerhalb der Deutschen Gesellschaft für Gynäkologie und Geburtshilfe (DGGG) hat Leitlinien für die Doppler-Sonographie in der Schwangerschaft erstellt:

Die Doppler-Sonographie gilt als additive, nichtinvasive Untersuchungsmethode in der Betreuung von Risikoschwangeren. Die nach den Mutterschaftsrichtlinien geltenden Indikationen zur Doppler-Sonographie sind:

  • Schwangerschaftsinduzierte Hypertonie/Präeklampsie/Eklampsie
  • Zustand nach Präeklampsie/Eklampsie
  • Zustand nach Mangelgeburt/intrauterinem Fruchttod
  • Auffälligkeiten der fetalen Herzfrequenz
  • Begründeter Verdacht auf Fehlbildung/fetale Erkrankung
  • Mehrlingsschwangerschaften (mit diskordantem Wachstum)
  • Abklärung bei Verdacht auf Herzfehler/Herzerkrankungen
Präexistente, gefäßrelevante maternale (mütterliche) Erkrankungen wie Hypertonie, Nephropathie (Nierenerkrankung), Diabetes mellitus, Autoimmunerkrankungen und Gerinnungsstörungen sowie alle Mehrlingsschwangerschaften werden als erweiterte Indikationen angesehen.

Neuere Untersuchungen in den Arteria uterinae (mütterliche Gebärmutterarterien) schließen den Nutzen von Screening-Untersuchungen in diesem Gefäßgebiet im Nichtrisikokollektiv nicht mehr aus!

Ebenso können Farbdoppleruntersuchungen der weiblichen Gefäße im kleinen Becken außerhalb einer Schwangerschaft zur verbesserten Diagnostik eingesetzt werden: zur Beurteilung von Eierstockszysten, Tumoren, Bauchhöhlenschwangerschaft, bei der Mammasonographie, Durchblutung bei Kinderwunsch etc .

In der fetalen Echokardiographie habe ich die Weiterbildung bei Herrn Prof. Dr. med. Gembruch (Lübeck, jetzt Bonn) und Herrn Prof. Dr. med. Chaoui (Berlin, zwischenzeitlich Zürich), Herrn Dr. med. Bald (Uni Bonn, dann Uni Köln, zuletzt Klinikum Leverkusen seit 2005) mit erfolgreicher Abschlussprüfung absolviert.

(Fetale Echocardiographie University of Pennsylvania) 

nach oben!

 

Ersttrimesterscreening

Über Pränatal-Diagnostik ist viel gesprochen, geschrieben, diskutiert, mit faulen Eiern geworfen worden. Ich selbst habe dazu Reden gehalten. Viele sind im Alter von 40 Jahren schwanger gewesen und haben diese Fragen auch für sich selbst individuell beantworten müssen.

Heute wünschen viele Frauen und Paare eine Abschätzung des individuellen Risikos für Down-Syndrom.

Der Triple-Test ist schon seit Jahren eingeführt: AFP, HCG, uE3(14+1 bis 18+0 SSW). Dieses Testergebnis gibt eine Erkennungsrate für Down-Syndrom von rund 60%, je nach dem auch ein wenig besser. Allerdings sind die Paare beunruhigt, wenn das Ergebnis sozusagen schlecht lautet und dann in Erwägung ziehen müssen, ob eine weitere invasive Diagnostik mit unter Umständen möglich künstlich herbeigeführter Fehlgeburt durchgeführt werden sollte.

Das sogenannte Ersttrimester-Serumscreening (PAPP-A, freies ß HCG-10+3 bis 13+6 SSW) und die Messung der Nackentransparenz (nuchal translucency)(Nt-Messung) ergibt eine statistische Sicherheit von 90%! noninvasiv! (Ein sicherer Ausschluss von Chromosomenstörungen ist nur durch eine genetische Untersuchung aus Fruchtwasser oder Plazentagewebe  möglich; also dann aber invasiv.)

                 Nt-Messung: Im Ultraschall können wir ab der 11+0 bis zur 13+6 `ten Schwangerschaftswoche im Nackenbereich die Breite der Wasseransammlung unter der Haut (Ödem, nuchal translucency, Nackenfalte) messen und unter Anwendung einer bestimmten Software statistisch das individuelle Risiko für z.B. ein Down-Syndrom in Form einer Verhältniszahl (z.B. 1:743) mit 80%iger Sicherheit angeben, Altersstatisik alleine nur 30%, Ersttrimesterscreening mit Labor oder soft markers* 90%. Diese zusätzlichen Untersuchungen sind keine Kassenleistung. Frau Heuser-Noever ist zertifiziert von der Fetal Medicine Foundation, FMF Deutschland für das NT-Screening.

* u.a. Nasenknochen

Pränatales Screening auf Chromosomenstörungen  z.B. NIPT (NIPD)

Eine relativ neuere Diagnostik basiert auf den Nachweis freier fetaler DNA im mütterlichen Blut und ermöglicht eine Detektions- und Falsch-Positivrate, welche bisher mit keinem nicht-invasiven Verfahren erreicht werden konnte.

siehe auch zum Beispiel: Flyer Labor Enders und

1.) Harmony-Test Download Anforderungsblatt

ab  1. Oktober 2016 signifikante Preissenkung z.B. auf 249/299 € und mehr: http://www.cenata.de/signifikante-preissenkung-des-harmony-tests-auf-249299-euro/

oder: https://www.labor-enders.de/tag/harmony-test/

Bestimmung des fetalen Rhesusfaktors D aus mütterlichem Blut  FLYER dazu

Datenschutzerklärung der Homepage vom harmony Prenatal Test bei cenata

2.) oder: PraenaTest http://lifecodexx.com/   in Konstanz

3.) Panorama-Test https://test.panorama-test.de/

Es gibt also mehrere Teste zu diesen sogenannten NIPT = Noninvasive Pränatalteste (beziehungsweise: NIPD = noninvasive Pränataldiagnostik); es wird auch gewarnt: http://www.aerzteblatt.de/archiv/124727/Praenataltest-zur-Erkennung-von-Trisomie-21-Warnung-vor-Automatismus

Mit einem unserer Lehrer, Herrn Prof. Hansmann aus Bonn: "The Fetus As Patient" möchte ich nochmals betonen, dass es uns darum geht in erster Überlegung, wie wir dem werdendem Kind in Not helfen können. Früher haben wir noch unseren Patientinnen bei Ringelröteln-Kontakt und fehlendem Schutz: "Alles oder Nichts - Tod oder Leben" als möglichen Ausgang offerieren müssen.

Heute dürfen wir sagen, dass wir bei engmaschiger Kontrolle, v.a. mittels Ultraschall, einen mit dem Tod bedrohten Fetus mit z.B. mit einer fetalen Blutübertragung am Leben erhalten können. Bei Geburt ist er dann so gesund wie jeder andere, und niemand erkennt, wie sehr er in Lebensgefahr gewesen ist. Auch bei kompliziertem Immundefekt wird z.B. im freiem Fenster vor der 14. SSW in Stockholm (fetale Stammzelltransplantation in utero) geholfen, und die betroffene Familie darf aufatmen.     

zur vorherigen Seite

nach oben!

Wir bieten einen immunologischen Nachweis von Blut im Stuhl an als individuelle Gesundheitsleistung.

In einem Stuhlröhrchen steckt eine Art Spirale, mit der an drei verschiedenen Stellen die Stuhlproben entnommen werden. Das Röhrchen wird im Kühlschrank aufgehoben bis zur nächsten Probenentnahme, denn die Entnahme der Proben von insgesamt drei aufeinanderfolgenden Stuhlgängen erhöht die Aussagekraft des Testes. Eine genaue Beschreibung zur Durchführung werden wir Ihnen in der Praxis geben.

Zum Thema Darmkrebsfrüherkennung können Sie auch eine weitere Seite lesen!

Hormone Frauen

In vielen Gesprächen mit Patientinnen zeigt sich, dass Frauen eine Hormonuntersuchung wünschen. Nach ärztlichem Gespräch über Sinn oder Unsinn wird dies veranlasst werden können.

nach oben!

 

Anti-Aging

Über dieses Thema ist weltweit sehr viel geschrieben worden. Auch bei den Gynäkologen gibt es letztendlich nun im Kontext mit der Life-Style-Diskussion bereits Fachgremien. Privat darf jede Patientin diese Themen mit mir erörtern und Rat erhalten. 

 

 

 

sog. "Igelleistungen"=Individuelle Gesundheitsleistungen=>>> 

© Infonet.byDesign

Die Kassenärzte sind nach dem Sozialgesetzbuch V §12 angehalten, nur die Leistungen zu erbringen, die "ausreichend, zweckmäßig und wirtschaftlich sind und das Maß des Notwendigen nicht überschreiten". Darüber hinaus gibt es wünschenswerte und medizinisch sinnvolle Zusatzleistungen. Sie können sich in unserer Praxis erkundigen.

Für den Inhalt externer Internetseiten sind wir nicht verantwortlich.

Für alle auf diesen Seiten und Unterseiten genannten Medizinprodukte gilt:  Ärzte sollten die Fachinformationen der Hersteller beachten und Patienten ihren Arzt oder Apotheker fragen. Die Mitteilungen auf dieser Website ersetzen auf keinen Fall eine persönliche Arzt-Patienten-Beziehung.

nach oben!

Letzte Aktualisierung: 11.05.2022
[Datenschutz] [Pflichtinfo=Impressum] [Disclaimer]